A endometriose é uma doença enigmática e tem merecido classificações que procuram identificar a localização das lesões, o grau de comprometimento dos órgãos e a severidade da doença. Embora grande parte das clínicas utilize a classificação da American Fertility Society que divide a doença em mínima, leve, modera da e severa, recentes avanços na pesquisa da doença recomendam uma nova classificação em três diferentes tipos (1).
Todos os três têm o nome de endometriose, mas são consideradas doenças diferentes, pois não possuem a mesma origem e por isto recebem tratamentos diferenciados. Esta divisão tem facilitado o tratamento e a cura, e mostra a importância do médico especialista em conhecer cada um dos detalhes que envolvem a doença, conseguindo-se assim separar o “joio do trigo” (2).
Endometriose Superficial ou Peritoneal
São lesões espalhadas na superfície do interior do abdômen. Podem estar disseminadas atingindo até mesmo o diafragma. Embora sejam superficiais, muitas vezes estão localizadas sobre órgãos nobres como no intestino, bexiga e ureter e, por isto os cuidados cirúrgicos devem ser bem observados para que se evitem complicações. Os sintomas mais comuns são: cólica, menstruação irregular e infertilidade. O exame clínico não apresenta alterações importantes, o ultrassom não demonstra imagens características e os marcadores que podem sugerir a presença da doença, dosados no sangue (CA125 e SAA) podem ou não estar alterados. O diagnóstico conclusivo e o tratamento são feitos pela videolaparoscopia.
1: lesão vermelha; 2 e 4: lesões negras; 3: lesão branca
Índice
Toggle

Endometriose Ovariana

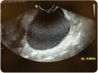
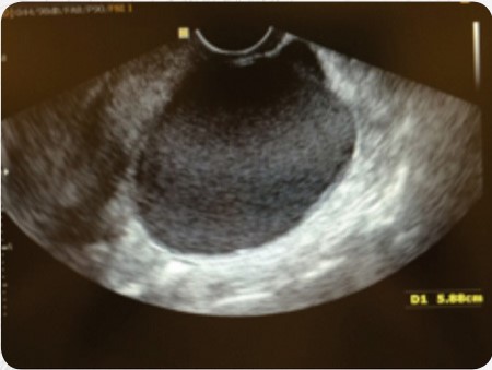
Um implante superficial atinge a face externa dos ovários, provoca uma retração para o interior do mesmo e forma cistos. O tamanho dos cistos é variável e causa alterações da anatomia destes órgãos. O diagnóstico é fácil, feito pelo ultrassom.
O tratamento quase sempre é cirúrgico por videolaparoscopia. O rigor da técnica cirúrgica utilizada é fundamental para que se evite o prejuízo da reserva ovariana, caso contrário, junto com o tecido do cisto, poderá ser retirado também tecido ovariano com óvulos de boa qualidade podendo levar até à falência ovariana precoce. O cisto pode estar associado a endometriose de outros órgãos formando aderências. Muitas vezes a paciente não tem sintomas e o diagnóstico pode ocorrer em um exame ginecológico de rotina. A indicação cirúrgica vai depender do tamanho do cisto entre outras variáveis.
Endometriose Infiltrativa Profunda

É a que apresenta sintomatologia mais agressiva comprometendo o bem-estar e a qualidade de vida das pacientes. Pode interferir na fertilidade mesmo quando são usadas as técnicas de Reprodução Assistida. Os implantes são profundos alcançando uma profundidade superior a 0,5 cm e envolvem outros órgãos como os ligamentos útero-sacro (que sustentam o útero), bexiga, ureteres, septo reto-vaginal (espaço entre reto, o útero e a vagina) e intestino. Nestes últimos, formam nódulos que atingem o reto, sigmoide, órgãos genitais, vagina e algumas vezes o intestino grosso e íleo (veja figura). A origem mais provável é a metaplasia (significa a transformação de um tecido embrionário em outro diferente).
Este texto foi extraído do e-book “Guia da Endometriose II”.
Faça o download gratuitamente do e-book completo clicando no botão abaixo:
